Platz schaffen mit Herz !!!
500 EURO PREISGELD !!!
Vielen Dank an alle fleißigen Helfer der „Platz schaffen mit Herz“ Aktion!!! Die Gewinner stehen fest und wir dürfen uns über 500 Euro Preisgeld freuen!!!
Ein besonderer Dank gilt Margit Schlosser, denn sie hat auf die Aktion der OTTO-Group aufmerksam gemacht und unermüdlich Kleiderspenden gesammelt und verschickt.
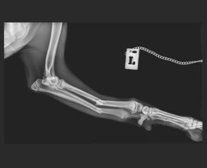
Mit dem Preisgeld möchten wir dieses Mal ganz konkret Simbad helfen. Simbad ist ein junger Galgorüde und wurde von einem Auto angefahren. Er musste notoperiert werden. Diagnose: beidseitiger Ellen- und Speichenbruch der Vorderläufe. Unsere spanischen Tierschutzkollegen, der Protectora in Villena, kümmern sich aufopferungsvoll um Simbad, obwohl das Geld schon an allen Ecken und Kanten fehlt. Übrigens: Simbad sucht noch ein liebevolles Zuhause.






